云南省第二院人民医院口腔影像科成立于2011年1月1日,它是由1984年成立的口腔放射室发展而来的,主要承担口腔颌面影像诊断的临床医疗、教学和科研工作。经过二十几年的发展,口腔放射室由初创时的一人一台牙片机发展到今天,拥有一台数字口腔全景机,两台数字牙片机及一台口腔锥形束CT机。人员共有主治医师1名、医师1名、技师3名。





口腔影像科开展项目:
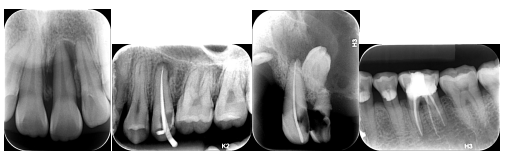
1、数字化牙片机:以摄口内片(牙根尖片)为主,应用软件可做数据分析。
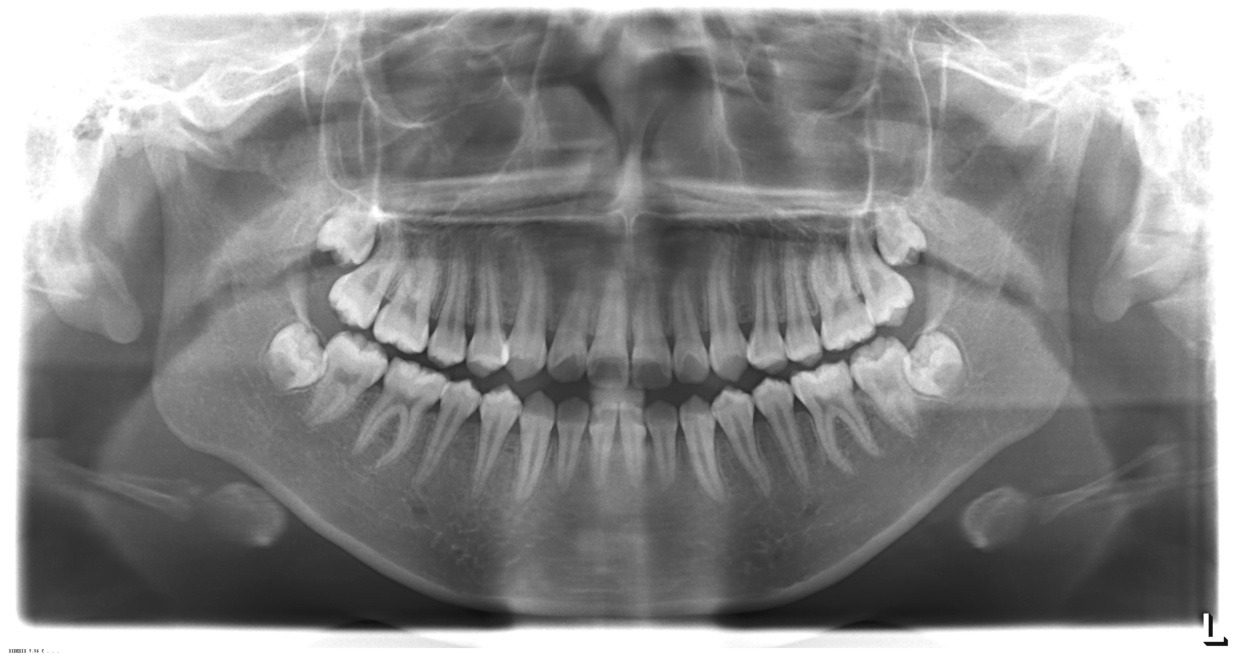
2、数字化口腔全景机:可拍摄口腔全景片、头颅定位测量片、颞下颌关节片及头颅后前位片、瓦特氏位片等。
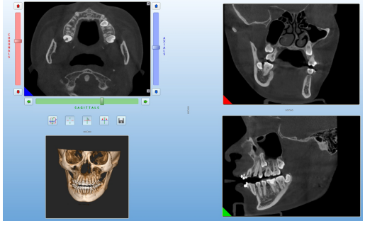
3、锥形束CT(CBCT):具有扫描速度快、空间分辨率高、辐射剂量小、图像伪影少等优点,作为牙科影像新的影像学检查手段,在口腔临床得到越来越广泛的应用,其应用范围涉及口腔正畸学、牙体牙髓病学、牙周病学、种植医学、口腔颌面外科学等。CBCT是口腔三维成像技术的一次飞跃,其对牙颌面牙齿、骨骼的良好成像效果,高质量的三维立体图像,有助于临床作出精确诊断、治疗计划的制订与实施。
教学工作:
科室承担口腔颌面影像学实习带教工作。
展望未来:
口腔影像科将会在以后的工作中跟上口腔放射新技术发展需要,满足口腔临床诊断工作的需求。
科室地址: 门诊楼八楼
联系方式65156650转2552
云南省第二院人民医院口腔影像科成立于2011年1月1日,它是由1984年成立的口腔放射室发展而来的,主要承担口腔颌面影像诊断的临床医疗、教学和科研工作。经过二十几年的发展,口腔放射室由初创时的一人一台牙片机发展到今天,拥有一台数字口腔全景机,两台数字牙片机及一台口腔锥形束CT机。人员共有主治医师1名、医师1名、技师3名。





口腔影像科开展项目:
1、数字化牙片机:以摄口内片(牙根尖片)为主,应用软件可做数据分析。
2、数字化口腔全景机:可拍摄口腔全景片、头颅定位测量片、颞下颌关节片及头颅后前位片、瓦特氏位片等。
3、锥形束CT(CBCT):具有扫描速度快、空间分辨率高、辐射剂量小、图像伪影少等优点,作为牙科影像新的影像学检查手段,在口腔临床得到越来越广泛的应用,其应用范围涉及口腔正畸学、牙体牙髓病学、牙周病学、种植医学、口腔颌面外科学等。CBCT是口腔三维成像技术的一次飞跃,其对牙颌面牙齿、骨骼的良好成像效果,高质量的三维立体图像,有助于临床作出精确诊断、治疗计划的制订与实施。
教学工作:
科室承担口腔颌面影像学实习带教工作。
展望未来:
口腔影像科将会在以后的工作中跟上口腔放射新技术发展需要,满足口腔临床诊断工作的需求。
科室地址: 门诊楼八楼
联系方式65156650转2552